[제일경제신문]재단법인 광주광역시 광주문화재단은 지역 예술인을 위한 '2025 광주예술인아카데미 – 창작기획 워크숍 ‘영상편집 및 콘텐츠 제작’'을 운영한다. 본 과정은 예술인의 디지털 콘텐츠 역량 강화를 목표로 오는 6월 23일부터 7월 7일까지 참여 신청을 받는다. 이번 프로그램은 AI 기반 동영상 편집 도구인 ‘캡컷(CapCut)’ PC버전을 활용해 영상 기획부터 촬영, 편집, 업로드까지 전 과정을 실습 중심으로 익힐 수 있도록 구성됐다. SNS 채널 운영 및 브랜딩 전략도 함께 다루어, 예술인이 자신의 활동을 디지털 콘텐...
전국 박철홍 기자2025. 06.25[제일경제신문]광주은행은 25일, 광주광역시, 기술보증기금과 광주 지역 내 주력산업을 영위하는 중소기업에 대한 금융지원을 확대하고자 ‘주력산업 위기 극복 및 수출⋅기술 경쟁력 강화를 위한 금융지원 업무협약’을 체결했다고 밝혔다. 이번 협약은 소재·부품·장비 업종 등 광주시 주력산업을 영위중인 중소기업에 금융비용 부담 완화와 원활한 자금조달을 위한 것으로, 세 기관의 협력체계를 구축해 주력산업의 위기 극복을 지원하고 수출·기술 경쟁력 강화 기반 마련을 목적으로 한다. 협약에 따라 광주은행은 1억 원을 특별출연하여 협약 대상 기...
전국 박철홍 기자2025. 06.25[제일경제신문]광주광역시 서구가 ‘착한도시 서구’의 대표 복지브랜드인 ‘천원국시’를 비롯해 ‘천원택시’, ‘천원애(愛) 드림세탁’ 등 일상에 힘이 되는 착한복지 정책을 확장하며 ‘천원의 동행’이라는 생활밀착형 복지모델을 완성해가고 있다. 이들 사업은 단순 지원을 넘어 나눔과 연대의 가치를 실현하며 ‘착한도시 서구’의 정체성을 굳건히 다지고 있다. 최근 서구는 ‘천원국시’ 10호점을 열었다. 현재 서구 곳곳의 천원국시 매장에서 하루 총 1000그릇(매장당 100그릇)의 국수를 착한 가격에 제공하고 있다. 이 사업은 어르신 일자리 ...
전국 박철홍 기자2025. 06.25[제일경제신문]광주광역시 서구는 25일 관내 유동 인구가 많은 풍금사거리 일대에서 디지털 성범죄 예방을 위한 홍보 캠페인을 실시했다. 이번 캠페인은 불법 촬영 범죄로부터 여성들이 안심하고 생활할 수 있는 여성친화도시를 조성하고자 기획됐다. 이날 서구는 시민참여단인 여성안심보안관 30여 명과 함께 ▲불법 촬영 근절을 위한 인식개선 홍보 ▲탐지카드, 응급세트 등 홍보 물품 배부 ▲공중화장실 내 불법 카메라 설치 여부 및 안심벨 작동 상태 등을 점검했다. 앞서 서구는 지난 3월부터 여성안심보안관을 대상으로 안전 모니터링 교육 및 현...
전국 박철홍 기자2025. 06.25[제일경제신문]광주 광산구가 금호타이어 광주공장 대형 화재로 인해 어려움을 겪고 있는 인근 상권 회복 지원에 나선다. 지난 5월 17일 발생한 화재로 금호타이어 광주공장이 가동을 멈춘 이후 공장 주변의 전통시장, 골목상권이 매출 감소, 소비위축 등 피해를 호소하고 있다. 지속되는 경기침체 속 화재 피해가 겹치면서 공장과 바로 인접한 소촌동은 물론 송정5일시장, 송정매일시장, 선운지구, 광산로 등 도산동, 어룡동, 송정1‧2동, 신흥동 주요 상권의 어려움이 가중되고 있는 것이다. 광산구는 금호타이어 광주공장 화재 피해 확산을 최...
전국 박철홍 기자2025. 06.25[제일경제신문]광주교통공사는 최근 서구 마륵동 본사에서 상반기‘안전보건 경영위원회’를 개최하고, 중대재해 예방을 위한 안전관리 상태 점검 활동을 펼쳤다고 밝혔다. 이번 회의에는 안전보건 및 산업재해 분야의 외부 전문가 4명이 참석해 객관적이고 전문적인 시각에서 공사의 재난 안전 역량을 진단하고 향후 개선 방안을 논의했다. 특히 공사는 이날 회의에서 ▲안전보건 관련 방침 수립 및 효율적 조직 운영 ▲임직원 대상 재해예방 교육 및 대응 매뉴얼 구축 등 안전경영 전반에 대해 우수한 평가를 받았으며, 사업장 내 위험성평가의 세부 항...
전국 박철홍 기자2025. 06.25[제일경제신문]여수시는 지난 24일 충무동 통장단을 대상으로 2026여수세계섬박람회 설명회를 열고 시민 참여 분위기 확산을 위한 본격적인 홍보를 이어갔다. 이번 설명회는 지난 18일 여천동에서 시작된 읍면동 순회 홍보활동의 두 번째 일정으로 섬박람회 개요와 추진 상황, 시민이 함께할 수 있는 실천 운동에 대해 안내하고 참여를 독려하는 자리로 마련됐다. 설명회에 참석한 통장단은 사전입장권 구매, 일상 속 홍보활동 참여 등 박람회 성공을 위한 다양한 방안을 함께 모색하며 현장 분위기를 이끌었다. 시 관계자는 “관내 읍면동을 순차적...
전국 박철홍 기자2025. 06.25[제일경제신문]백인숙 여수시의회 의장과 박성미·민덕희 의원이 전국공무원노동조합 여수시지부가 실시한 설문조사에서 ‘베스트 시의원’으로 선정됐다. 이번 설문조사는 지난 5월 26일부터 8일간 진행됐으며, 평가 기준은 △집행부에 대한 인격 존중 △조례 발의 실적 △공정한 의정활동 △도덕성과 청렴성 △소신 있는 정책결정 등으로, 의정활동 전반에 대한 공무원들의 의견을 수렴해 선정이 이뤄졌다. 세 의원은 이러한 기준에 따라 설문 응답자들로부터 긍정적인 평가를 받아 베스트 시의원으로 선정됐다. 이에 따라 여수시공노조는 지난 24일 시의회 ...
전국 박철홍 기자2025. 06.25[제일경제신문]여수시의회는 24일 웅천 발콘드예울 카페에서 ‘웅천지구 현안사업 및 중학교 이설 관련 간담회’를 개최했다. 이번 간담회는 최정필 여수시의회 의원과 웅천지구 중학교 이설 추진위원회(위원장 황필환)가 공동 주최했으며, 여수교육지원청과 여수시 관계자, 학부모 등 약 50여 명이 참석했다. 간담회에서는 지난 4월 열린 1차 간담회 이후 웅천지구 중학교 이설 추진 현황을 점검하고, 지역 주민들의 궁금증을 해소하는 동시에 지역 현안사업에 대한 설명과 협의가 함께 진행됐다. 여수시 관계자는 “현재 웅천지구 학교부지 관련 행정...
전국 박철홍 기자2025. 06.25[제일경제신문]영덕군야구소프트볼협회 주최·주관하고 영덕군이 후원하는 ‘2025 STAY영덕 베이스볼 캠프’가 24일 개막해 다음 달 13일까지 열띤 경합을 펼친다. 이번 갬프는 전국 65개 팀, 1,800여 명의 선수와 관계자가 참가하는 여름 스포츠 축제로, △대학동아리 챔피언십 △유스 캠프 △주니어 캠프 △사회인 챔피언십 △대학생 아이디어 공모전 등 총 5개 부문으로 이뤄진다. 특히 유소년부터 사회인까지 전 세대를 아우를 만큼 대중성과 전문성을 겸비하고 있어 스포츠를 통한 세대 간 소통과 지역 스포츠 문화의 저변 확대에 크게 ...
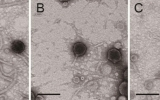
스포츠 김정란 기자2025. 06.25[제일경제신문] 환경부 산하 국립호남권생물자원관(관장 박진영)은 비브리오균을 표적으로 하는 신종 박테리오파지 3종을 국내 새우 양식장에서 분리 후 그 특성을 규명한 연구 결과를 미생물학 분야 국제학술지에 게재했다고 25일 밝혔다. 연구진은 전남 진도 지역 새우 양식장 배출수에서 분리한 박테리오파지 3종*에 대해 형태학적 특징, 유전체 구성, 감염 활성 등을 종합적으로 분석하여 특성을 규명했다. 박테리오파지는 세균을 감염시켜 죽이는 바이러스로, 세균의 천적으로 불린다. 특히 특정 비브리오균에 대해 낮은 농도에서도 높은 생...
전국 박철홍 기자2025. 06.25[제일경제신문]구례군 자원봉사단체 초심회는 지난 20일 간전면 백운관에서 마을 어르신 400명을 대상으로 음식 나눔 자원봉사를 실천하며 온정과 사랑을 나누는 '온기 나눔 캠페인'에 동참했다. 이날 초심회와 함께 미라클예술단의 재능기부 공연, 장애인복지관에서 차량운행 지원, 목월빵집에서 빵 나눔 봉사, 복돈에서 추어탕 제공 등 다양한 단체의 지원으로 '온기나눔 캠페인'에 힘을 보탰다. 초심회는 관내 취약계층의 주거환경개선사업, 재가장애인 밑반찬배달, 경로잔치 및 장수사진 촬영, 장학금기부 등 여러 자원봉사활동과 재능기부를 해오고 ...
전국 박철홍 기자2025. 06.25[제일경제신문]전남 구례군은 오는 6월 28일 오후 5시부터 8시까지 구례읍 5일시장 일원(상설무대)에서 '2025 구례 5일시장 제7회 오맥축제'를 개최한다고 밝혔다. 오맥축제는 구례읍 중심시가지형 도시재생사업의 일환으로, 침체된 구도심에 활력을 불어넣고 상권활성화를 도모하기 위해 2023년 처음 시작돼 7회째를 맞이하며, 4월부터 11월까지 3·8일 장이 열리는 토요일에 운영된다. 이번 제7회 오맥축제는 ‘500cc 맥주 1잔에 500원, 오후 5시에 하는 행사’라는 키워드로 성인 인증 후 맥주 교환권(4잔 2,000원)을 ...
전국 박철홍 기자2025. 06.25[제일경제신문]2026년 구례군에서 개최되는 양대 체전을 빛낼 대회 상징물이 선정됐다. 구례군은 지난 6월 11일과 20일, 2회에 걸쳐 대회 상징물 심사위원회를 통해 제65회 전남체전과 제34회 장애인체전 대회마크, 마스코트, 포스터, 구호, 표어 8개 부문에 대해 당선작과 가작을 각 1건씩을 확정했다고 밝혔다. 군은 공정한 심사를 위해 관계 기관․단체를 비롯해 외부 전문가 등으로 심사위원회를 구성하고, 주제적합성ㆍ상징성 등 평가기준을 마련해 대회마크와 마스코트, 포스터 부문에서 우수 작품을 심의ㆍ선정했다. 아울러, 전남체전...
전국 박철홍 기자2025. 06.25[제일경제신문]광주시교육청은 지난 24일 학교폭력 피해학생 전담지원기관인 지세움 대강당에서 학부모 교육을 실시했다. 이날 교육은 올해 자녀가 지세움을 이용했거나 청소년기 자녀 이해 및 효과적인 양육방식에 관심있는 학부모를 대상으로 긍정적인 양육태도, 가치관 수립을 통한 행복한 가정문화 형성 등에 대해 설명하는 내용으로 진행됐다. 또 박재원 정신건강 임상심리전문가가 ‘아버지의 존재감- 청소년 시기의 자녀에게 어떻게 남을 것인가?- 아빠의 역할과 중요성, 효과적인 의사 소통법’을 주제로 강의를 했다. 강의에서는 회복적 접근법과 효...
전국 박철홍 기자2025. 06.25광주광역시, 시민 참여로 탄소중립 실현 속도
전남교육청, 2026년 성고충상담원 역량강화 연수 운영
광산구, 주민 건강 챙기는 모바일 헬스케어 운영
전남교육청, 특수교육대상 학생 맞춤형 ‘직업훈련’ 운영
김민석 국무총리, 광주·전라지역 응급환자 이송-진료체계 종합 점검
이재명 대통령 "기간제법이 2년 이상 절대 고용 금지법 돼…현실적 대안 만들어야"
전남체전 구례서 개막…22개 시군 7천여명 4일간 열전
“전남 체육의 내일을 응원합니다” 김태균 의장, 제65회 전남체전 참석
무안군, 매니페스토 민선8기 공약이행 최종평가 “A” 등급 획득
전남도, 외국인 특화거리 조성 밑그림 논의
김민석 국무총리, 의약계, 의료필수품 제조·유통업계 만나 애로사항 청취
김민석 국무총리, 광주·전라지역 응급환자 이송-진료체계 종합 점검
이재명 대통령 "기간제법이 2년 이상 절대 고용 금지법 돼…현실적 대안 만들어야"
전남체전 구례서 개막…22개 시군 7천여명 4일간 열전
“전남 체육의 내일을 응원합니다” 김태균 의장, 제65회 전남체전 참석
무안군, 매니페스토 민선8기 공약이행 최종평가 “A” 등급 획득
전남도, 외국인 특화거리 조성 밑그림 논의
신안군, 제16회 섬 튤립축제 개막
해남군, 한국매니페스토 이행평가서 8년 연속 SA등급 획득
광주광역시 서구 아카데미, ‘차이나는 클라스’로 진화